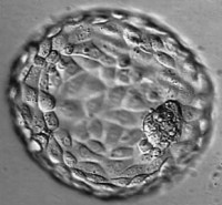
Blastocista yra vadinamas išsivystęs ir apvaisintas 5-6 parų amžiaus embrionas, užauginas laboratorijoje ir pasiruošęs būti implantuotas į gimdos sienelę. Kai kurių nevaisingumo gydymo procedūrų metu embrionai, prieš juos patalpinant, yra auginami laboratorijos sąlygomis 2-3 paras kol išauga iki 4-8 ląstelių dydžio. Blastocistų auginimo procedūros metu yra laukiama 5-6 paras, kad embrionai labiau išsivystytų.

Tam, kad išgyventų pirmąsias tris ar keturias savo gyvenimo dienas, embrionas privalo išaugti iki blastocistos. Tai pavyksta tik apie trečdaliui embrionų. Šie embrionai, pasiekę blastocistos stadiją, yra labiau išsivystę, sveikesni, stipresni, labiau prisitaikę išgyveni gimdoje ir turi didesnę implantavimo į gimdos sienelę tikimybę. Ši stadija yra pasiekama kažkur tarp 5 ir 6 parų po apvaisinimo.

Brendimo proceso iki blastocistos metu, embrionas yra apsaugotas spezializuotu apvalkalu. Šis apvalkalas, žinomas kaip zona pellucida, primenantis vištos kiaušinio lukštą, saugo embrioną nuo išorės pavojų. Pakankamai subrendęs embrionas tarsi „išsilukštena” pats, praplėšdamas zona pellucida, ir yra pasiruošęs itin tvirtai implantuotis į gimdos sienelę.

Tuo momentu blastocistą jau sudaro apie 200 ląstelių, ir dėl to jos implantacijos paviršius yra didesnis. Taip pat, dėl šios priežasties, blastocista turi didesnę galimybę implantuoti save negu mažesnis, mažiau išsivystęs embrionas. Statistiniai duomenys teigia, jog blastocistos implantacijai pavykus, nėštumo galimybė išauga 50-čia procentų.

Blastocistų auginimas laboratorijos sąlygomis leidžia ginekologui atrinkti tik sveikiausius ir gyvybingiausius embrionus, kurie bus patalpinti į pacientės gimdą. Būtent tai padidina sėkmingo nėštumo galimybę ir ženkliai sumažina tikimybę, jog nėštumas bus daugiavaisis. Blastocistų auginimo ir implantacijų procedūra yra atliekama tada, jeigu ankstesnis nevaisingumo gydymas buvo neveiksmingas.

KITOS PROCEDŪROS